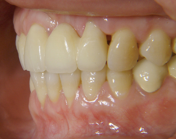
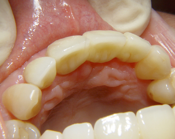
IPS Empress II mit Verblendkeramik Eris
Nach der Einführung von Empress 2 kam es immer wieder zu Absplitterungen im Bereich der Verblendkeramik.
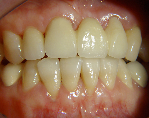
IvoclarVivadent bracht dann eine neue Verblendkeramik auf den Markt mit dem Namen Eris for E II. Danach gab es dann keine Probleme mehr.
Ein Projekt aus dem Jahr 2002

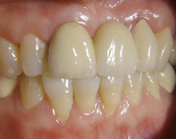
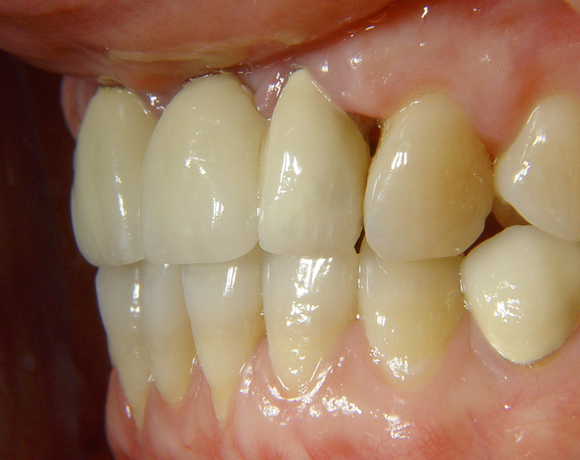
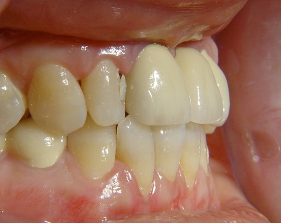
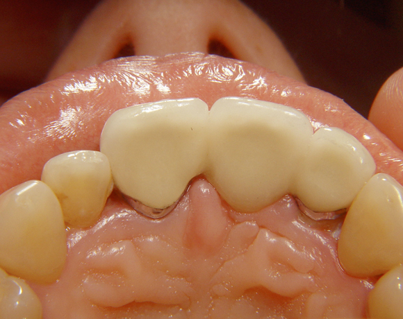
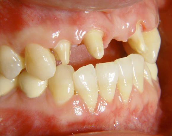
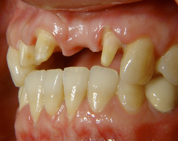
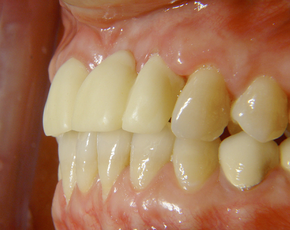
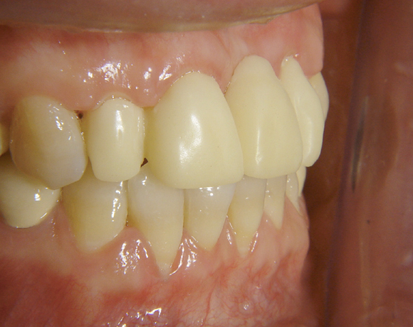
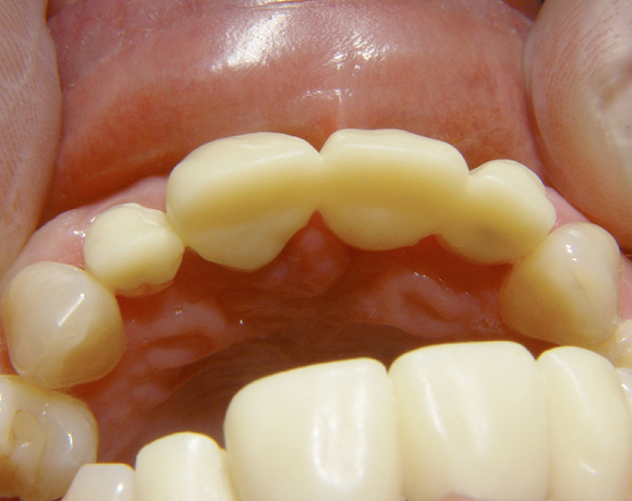
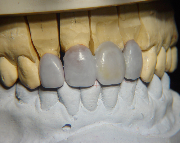
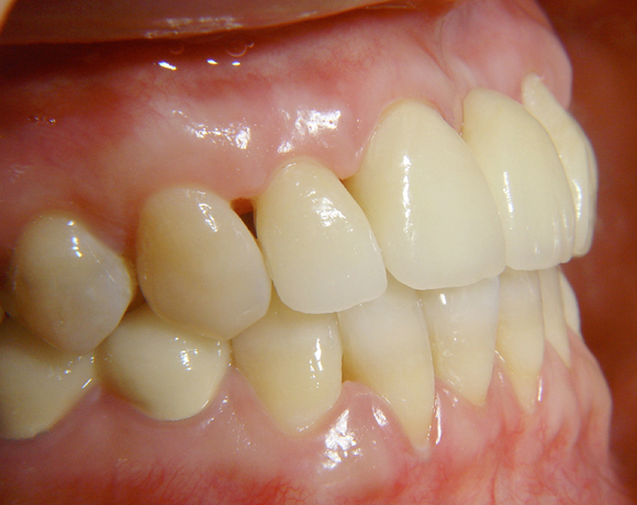
Im vorliegenden Patientenfall wird an den Zähnen 12 -21 eine Frontzahnbrücke aus VMK ausgetauscht. Die Neuversorgung wird aus Empress 2 mit der Verblendkeramik Eris for E 2 und zusätzlich eine Frontzahnteilkrone an Zahn 22 hergestellt.



























