Novaloc Einsatz der Instrumente
Das NovalocTM- Matrizensystem mit seiner neu entwickelten Technologie, ist ein konfektioniertes Verbindungselement zur Fixierung von abnehmbarem Zahnersatz auf Locator®- Patrizen bzw. Locator®- Abutments.
Mit dem ausgereiften Instrumentarium lassen sich die Matrizen sehr leicht ein- bzw. ausbauen
Ein Projekt aus dem Jahr 2013

Im Rahmen dieses Patientenfalles soll auch der Gebrauch der Instrumente dargestellt werden.
Bildlegende:
Bild 01: Eingeheilte Zerameximplantate mit Einheilkappen
Bild 02: Freilegen eines Implantates
Bild 03: Reinigen der Innenstrukturen mit Rotobürstchen
Bild 04: Unterfütterung der Unterkieferprothese, mit Einzeichnung der Implantatlage
Bild 05: Klarsichtiges Prothesenduplikat
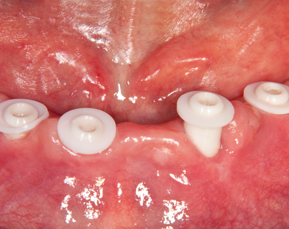
Bild 06: Eingeklebte Locatorpatrizen
Bild 07: Aufsetzen der Matrizengehäuse auf die Locatorabutments
Bild 08: Abdrucknahme über die Matrizengehäuse mit der Duplikatprothese
Bild 09: Instrumente zum Einsetzen und Entnehmen der Matrizen
Bild 10: Matrizen und Matrizengehäuse
Bildlegende:
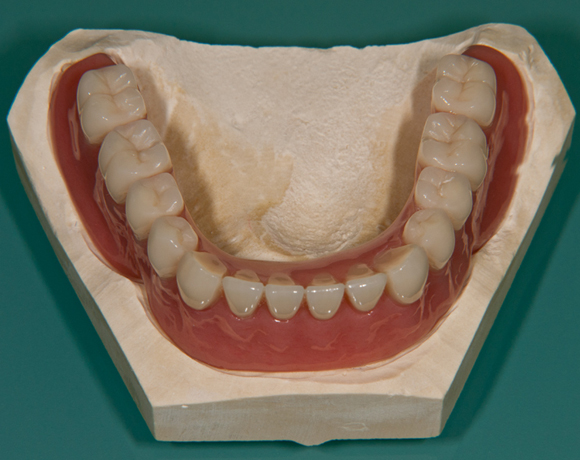
Bild 01: Modell zur Anfertigung eines Zirkongerüstes
Bild 02: Zirkongerüst
Bild 03: Zirkongerüst
Bild 04: Zirkongerüst auf dem Modell
Bild 05: Zirkongerüst eingearbeitet in Prothese
Bild 06: Zirkongerüst eingearbeitet in Prothese
Bild 07: Aufgesetzte Silikonmontagemanschetten
Bild 08: Aufgesetzte Matrizengehäuse
Bild 09: Kunststoff zum Einpolymerisieren der Matrizengehäuse
Bild 10: Einpolymerisierte Matrizengehäuse
Bild 11: Nach Entfernen der Montageeinsätze
Bildlegende:
Bild 01: das Instrument zum Einsetzen und Entfernen der Matrizen
Bild 02: Die Seite zur Matrizenaufnahme zum Einsetzen
Bild 03: Mit aufgenommener Matrize
Bild 04: Beim Einsetzen in das Matrizengehäuse
Bild 05: Eingesetzte Matrizen
Bild 06: Die Seite zum Entfernen der Matrize
Bild 07: Leichtes Aufdrehen auf die Matrize
Bild 08: Entnommene Matrize weiss
Bild 09: Entnommene Matrize grün
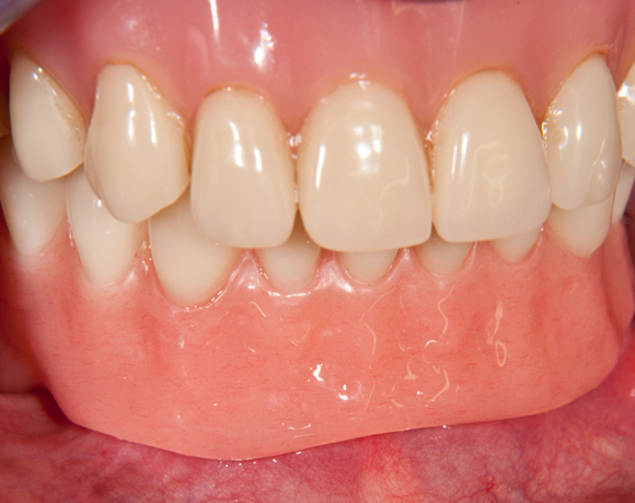
Bild 10: Eingesetzte Prothese in Okklusion
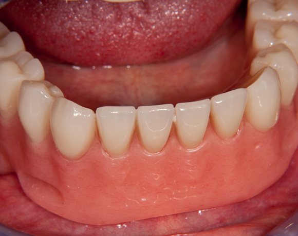
Bild 11: Unterkieferprothese in Situ
































