Interner Sinuslift
Beim Internen Sinuslift wird durch die Implantatbohrung ohne die Schleimhaut des Kieferhöhlenbodens zu durchbrechen Knochenmaterial unter die Schleimhaut geschoben, um neues Knochenwachstum, um das in die Kieferhöhle eingeschraubte Implantat, zu bekommen.
Ein Projekt aus dem Jahr 2012
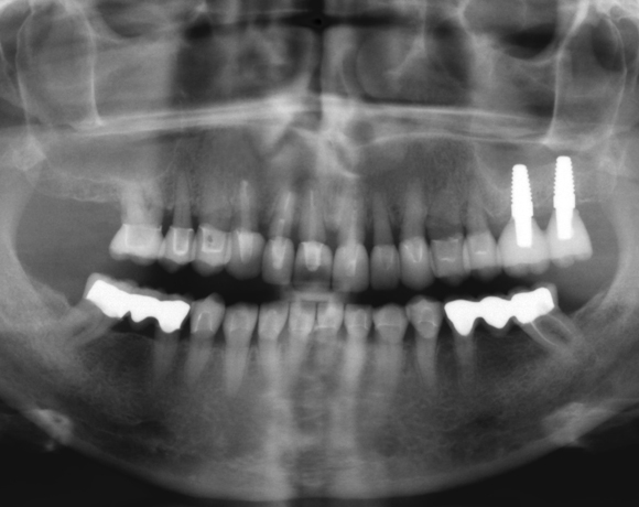
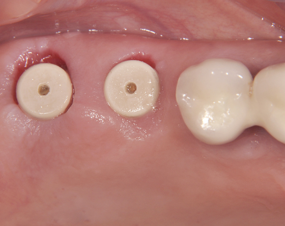
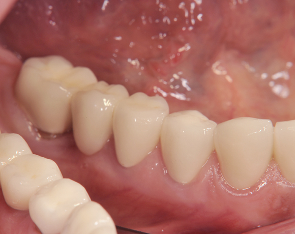
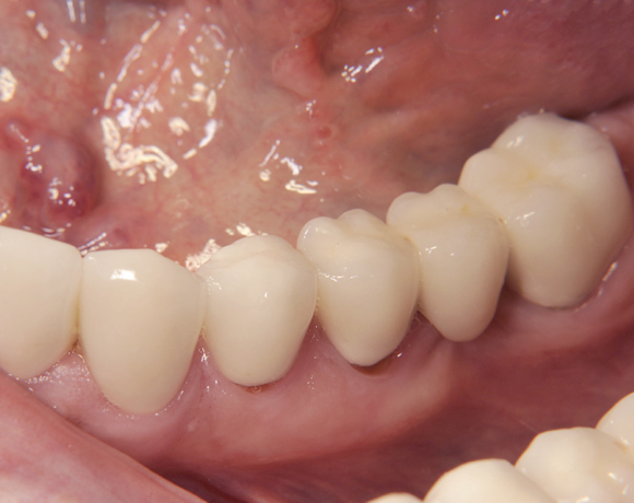
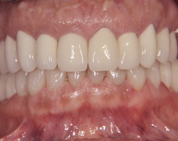
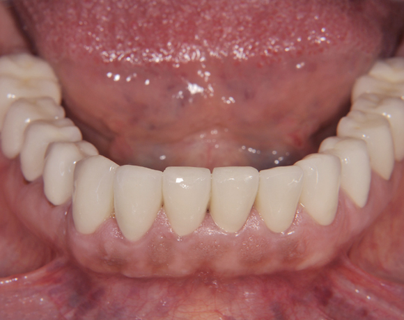
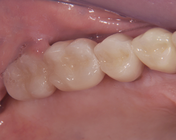
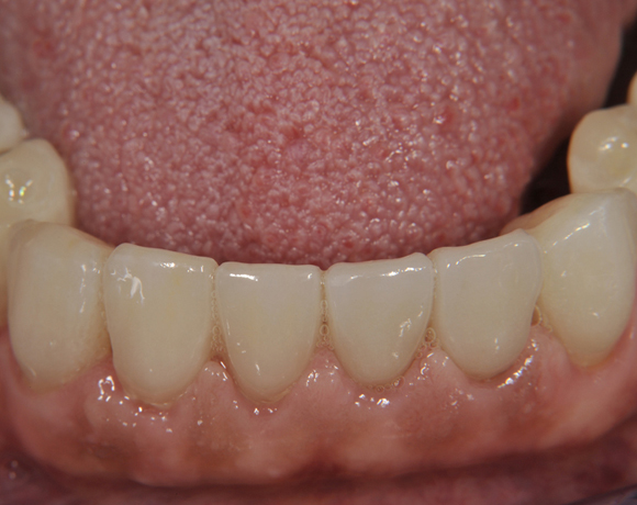
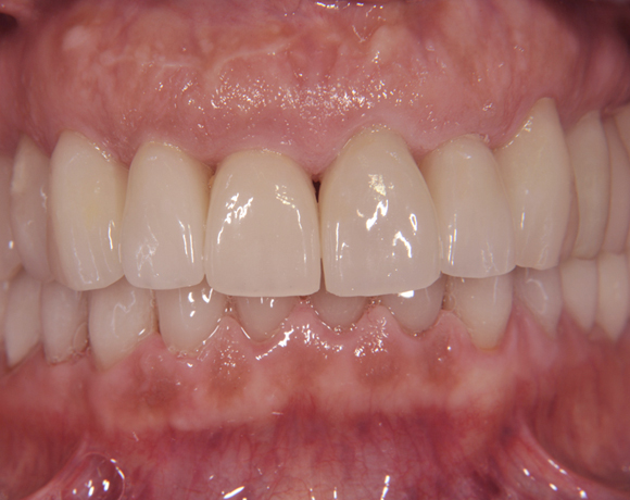
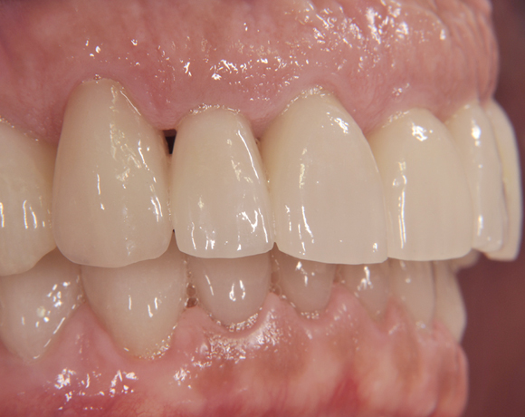
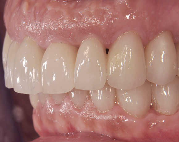
Der vorliegende Patientenfall zeigt eine komplette Neuversorgung der vorhandenen Metallkeramikkronen mit vollkeramischen Restaurationen. Zusätzlich wurde im Oberkiefer die Zahnreihe mit zwei Implantaten, für die fehlenden Molaren, ergänzt. Da keine ausreichende Knochenhöhe vorhanden war wurde ein interner Sinuslift geplant.
























