Einsatz von Solcoseryl nach operativen Eingriffen
Solcoseryl Salbe eignet sich durch seine heilende und anäthesierende Wirkung besonders auch nach operativen Eingriffen, um die Heilung zu beschleunigen und den oberflächlichen Schmerz zu nehmen.
Ein Projekt aus dem Jahr 2000

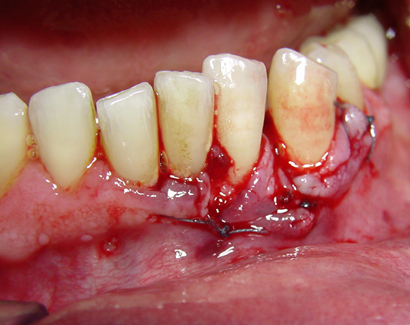
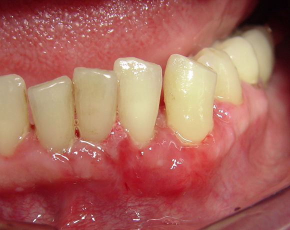
Falldarstellung nach der Entfernung eines Epulis.
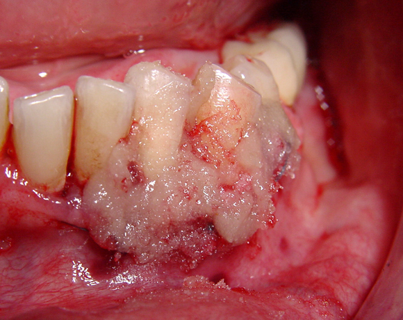
Die Salbe muss dünn mit einem Wattestäbchen aufgetragen werden.
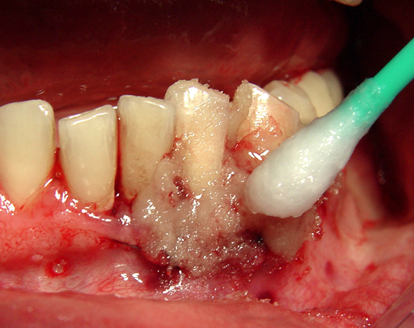
Mit einem nassen Wattestäbchen wird die Oberfläche der Salbe zum gelieren gebracht, so dass die klebende Wirkung aufgehoben wird, die Salbe an der aufgetragenen Stelle verbleibt und sich nicht im ganzen Mund verteilt.
Nach einer Woche postoperativ ist die genähte Wunde fast vollständig verheilt.








