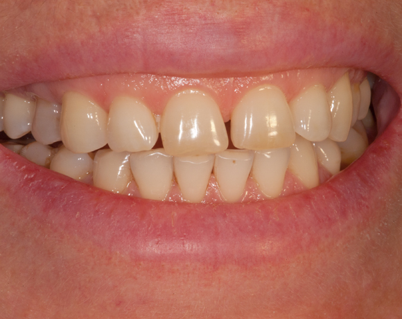
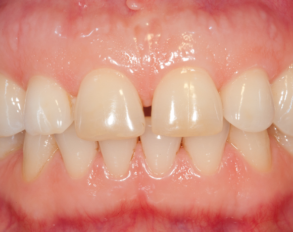
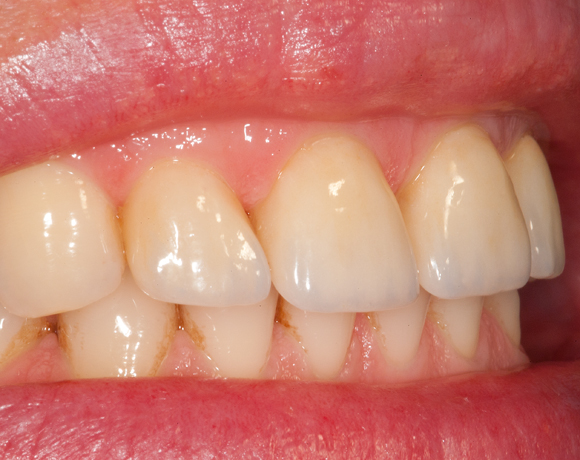
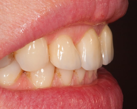
e.max Veneers Fall 3

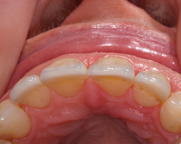
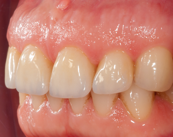
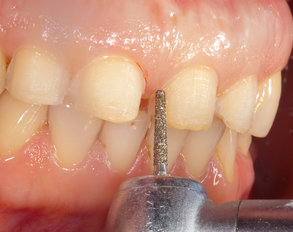
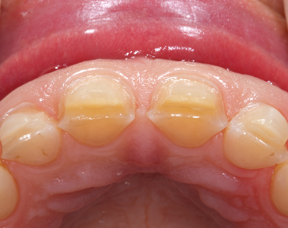
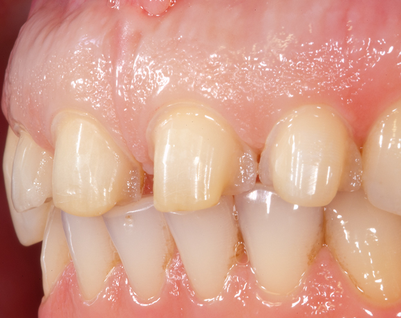
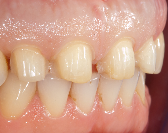
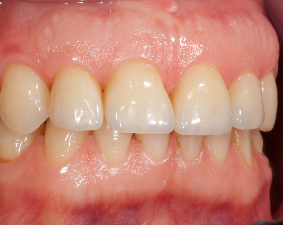
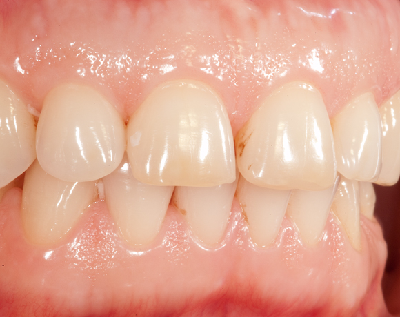
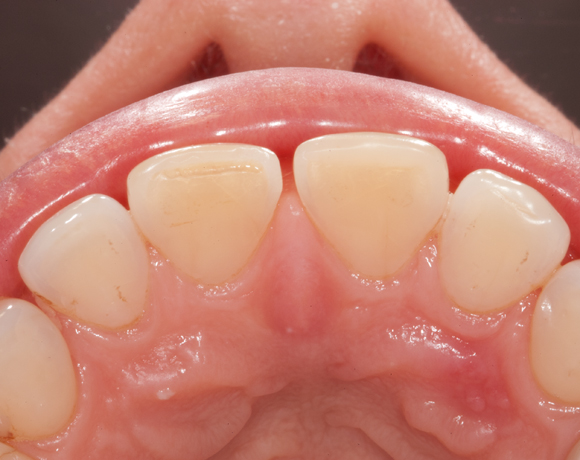
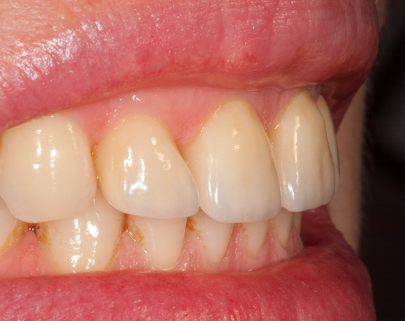
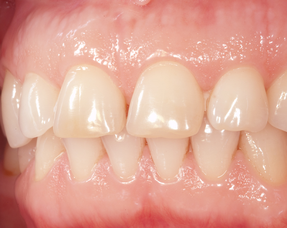
Das Veneer zeichnet sich dadurch aus, dass nur wenig Zahnsubstanz abgeschliffen werden muss, um dem Zahn ein neues Äusseres zu geben. Durch ein Veneer lassen sich Form-, Farb- und Zahnstellungskorrekturen vornehmen.

Ein Projekt aus dem Jahr 2012

Alle Projekt mit der Firma IvoclarVivadent →

Mit wenig Zahnsubstanzverlust konnte hier die Farbe und Form korrigiert werden