e.max Press Teleskopkronen 1. Patientenfall
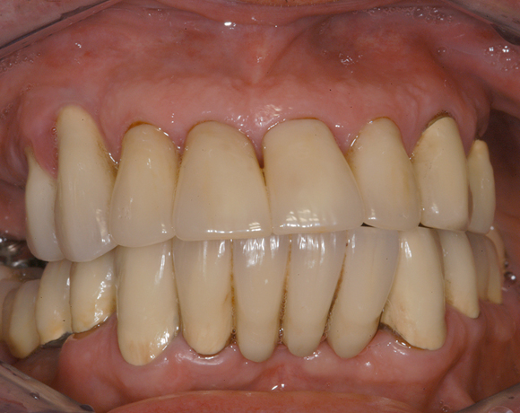
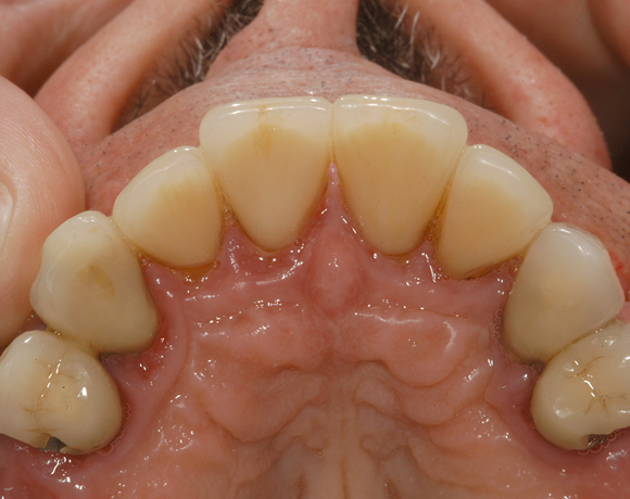
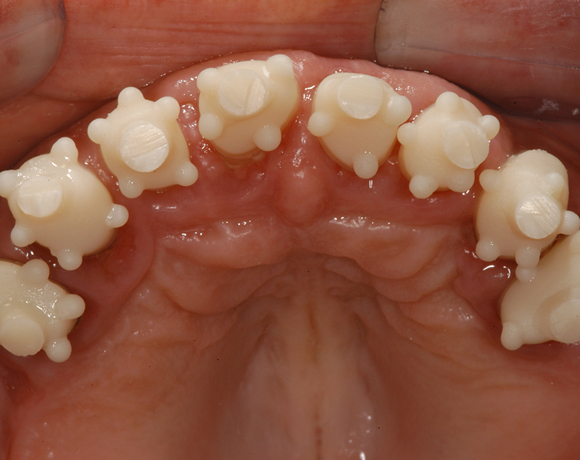
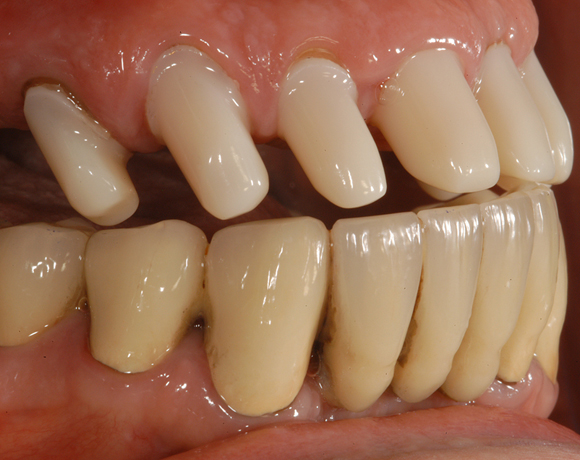
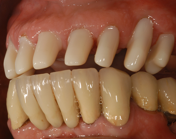
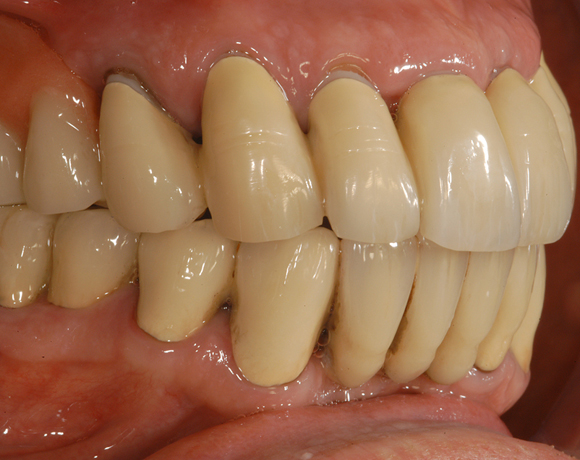
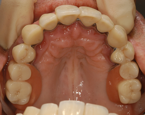
Üblicherweise werden Teleskopkronen aus Metalllegierungen hergestellt. Der Nachteil dieser Prothesenkonstruktion für den Patienten ist, wenn er seine Prothese aus dem Mund nimmt sieht man nur noch gold- oder silberfarbene Zahnstümpfe. Mit den Innenteleskopen aus e.max Press sieht man zahnfarbene Stümpfe, die unserem ästhetisches Verständnis nicht gleich ins Auge stechen.
Ein Projekt aus dem Jahr 2006

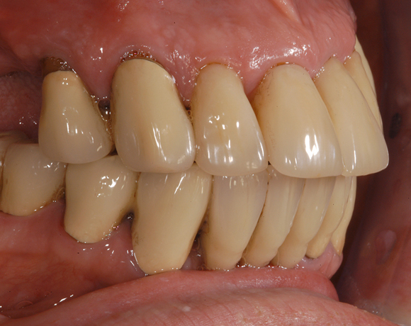
Im vorliegenden Patientenfall musste eine komplette Neukonstruktion der Oberkieferversorgung vorgenommen werden, da auf Grund parodontaler Probleme die Seitenzahnbrücken 15 – 17 und 25 – 27 nicht mehr zu halten waren. Die verbliebenen acht Frontzähne bzw. Prämolaren waren auch parodontal vorgeschädigt und es war ungewiss wie lange sie einzelne noch halten lassen. Um nicht bei jedem Verlust eines der Restzähne eine Neukonstruktion zu brauchen, hat man sich für eine Teleskopprothese entschieden. Für den Patienten war es allerdings nicht vorstellbar goldfarbene Primärteile im Mund zu haben, so wurde der Versuch unternommen diese aus e.max Press und Galvano Sekundärteilen herzustellen.























