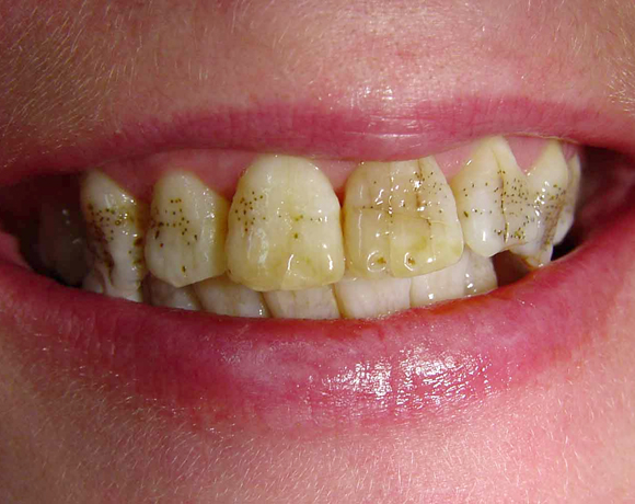
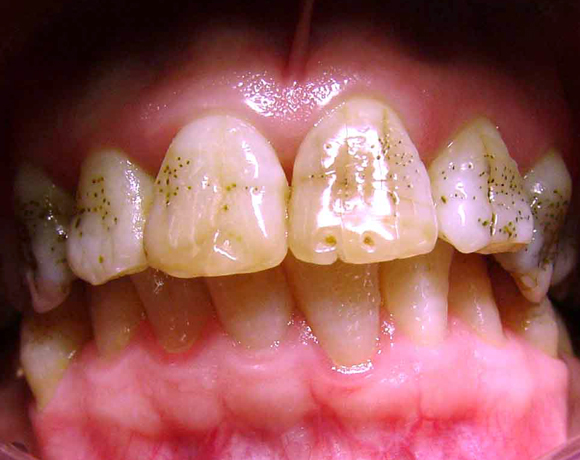
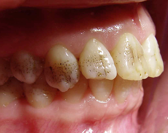
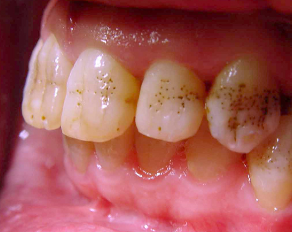
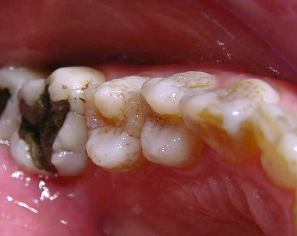
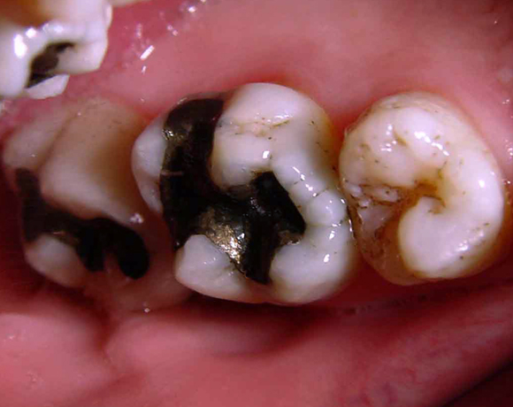
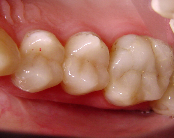
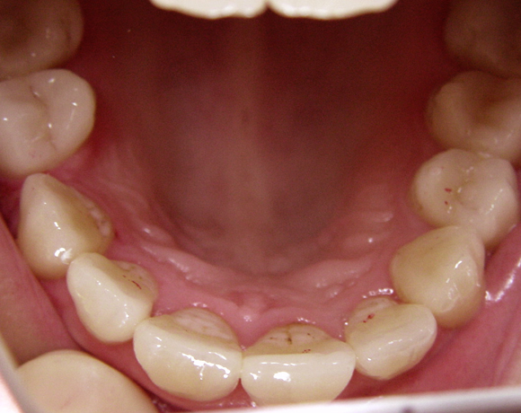
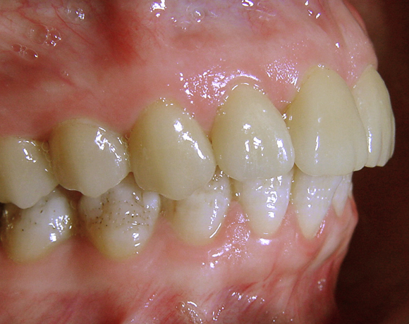
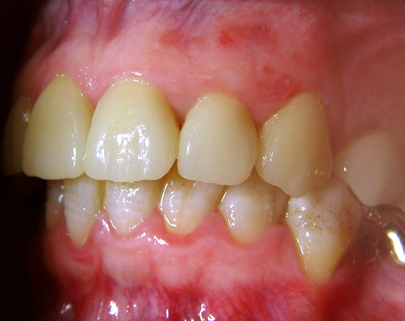
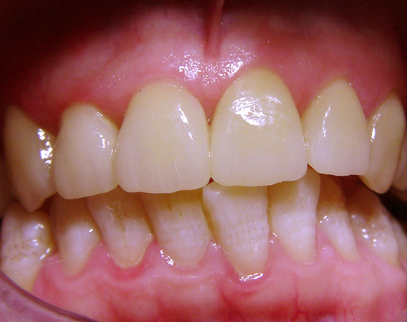
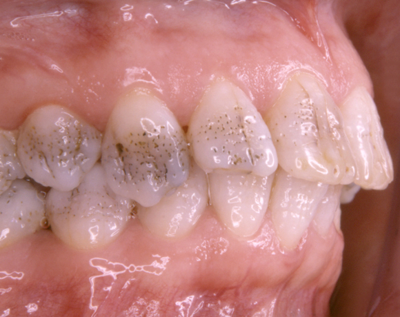
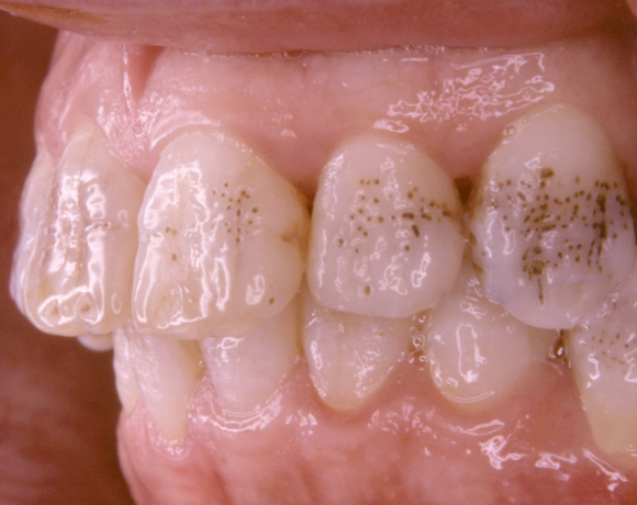
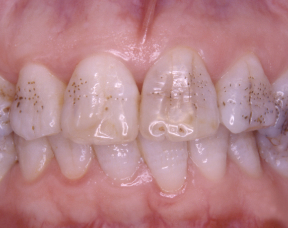
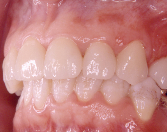
Amelogenesis Imperfecta
Amelogenesis Imperfecta, d.h. zu deutsch unvollständige Schmelzentwicklung.
Die Ursache ist meistens unbekannt, oftmals erblich bedingt.
Der Zahnschmelz ist meistens sehr unförmig gestaltet und verfärbt. Diese Verformung besteht von Anfang an, die Zähne brechen im Kindesalter normalerweise schon verkrüppelt aus dem Kiefer.
Ein Projekt aus dem Jahr 2000
(Anfänge der digitalen Fotografie)

Im vorliegenden Patientenfall lagen in der Familie noch zwei weitere Fälle dieser Zahnverformungen vor
Erste digitale Versuche
Dias gescannt





















