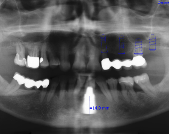
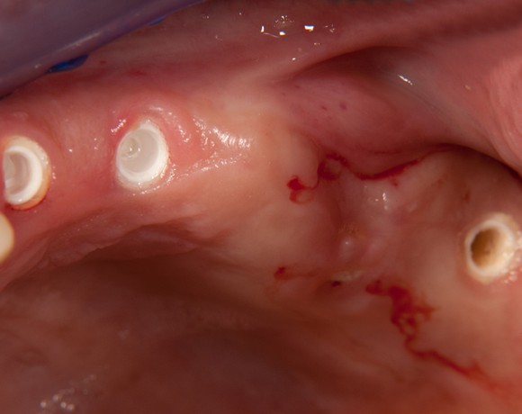
Zeramex P Implantate für die Zähne 22-27
Die Zeramex Plus Implantate sind seit Mai 2013 auf dem Markt. Es handelt sich um zylindrische Implantate.
Ein Projekt aus dem Jahr 2013

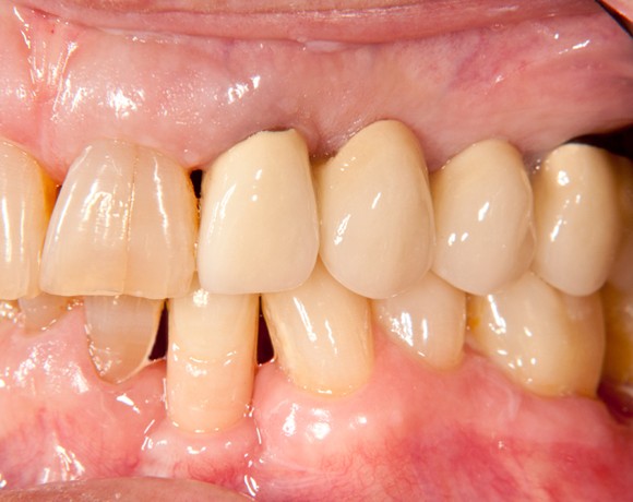
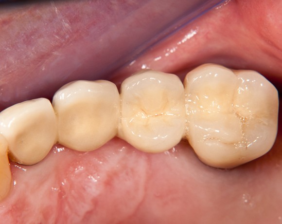
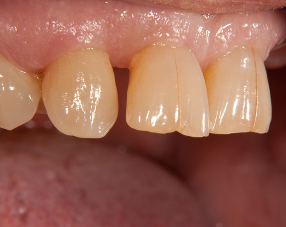
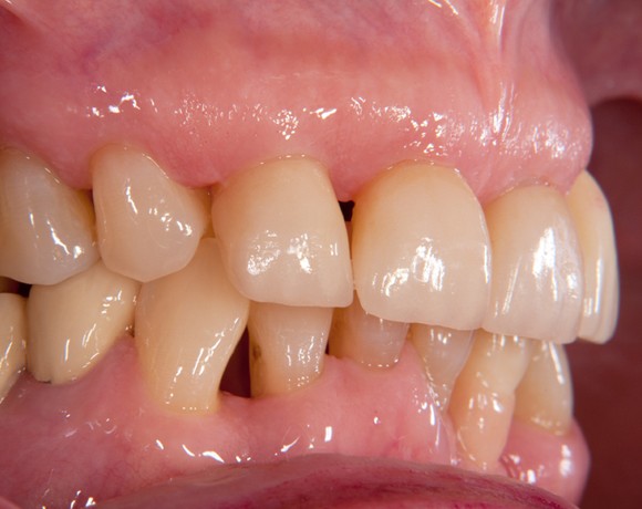
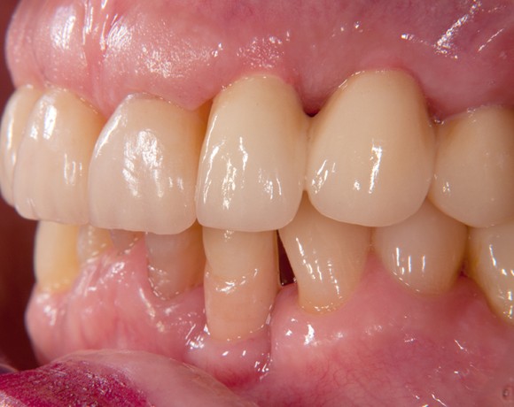
Bei dieser Patientin mussten die Zähne 22,26 und 27 aus parodontalen Gründen entfernt werden. Nach Extraktion der Zähne 22 und 26 wurden sofort in die Extraktionsalveolen die Implantate gesetzt. Zahn 27 war bereits sechs Monate zuvor extrahiert worden und die Knochenwunde gut ausgeheilt. Das geringe Knochenangebot wurde mit einem internen Sinuslift ausgeglichen. Im Bereich des Zahnes 23 wurde noch ein weiteres Implantat gesetzt. Da der Zahn 12 nicht angelegt und die Symetrie auf dieser Seite gestört war, wurden die Zähne 11 und 13 mit Teilkronen versorgt, um die Lücken zu schließen der Zahn 13 zu 12 umgebaut.
































